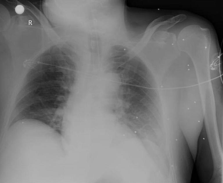
Meydana gelen olayda, mahalle muhtarı olan 52 yaşındaki Tuncer Yıldırım, ağabeyi 59 yaşındaki Osman Yıldırım'a karşı av tüfeği ile saldırıda bulundu. Saldırı sonucunda ağır yaralanan Osman Yıldırım'ın vücudunda yaklaşık 300 saçma tespit edildi.
Olay, 25 Ağustos'ta, Abdurrahmanlar Mahallesi'nde bulunan Fatih Caddesi'nde meydana geldi. Tuncer Yıldırım ile ağabeyi Osman Yıldırım'ın oğlu Adem Yıldırım arasında, kredi ve miras konuları nedeniyle öğle saatlerinde bir tartışma yaşandı. Taraflar arasındaki anlaşmazlık sonucu şikayetler yapıldı. Akşam saatlerinde, Tuncer Yıldırım, komşusu olan ağabeyinin evine hakaretlerde bulundu. Sokakta karşılaştıklarında Tuncer Yıldırım, av tüfeği ile ateş açtı. Olayın ardından yaralanan Osman Yıldırım eve doğru koşmaya çalıştı, ancak vücuduna isabet eden saçmalar nedeniyle yaralandı. Tuncer Yıldırım olay yerinden kaçtı. Yaralı Osman Yıldırım'ın oğlu Adem'in ihbarı üzerine çok sayıda jandarma ve sağlık ekibi sevk edildi. Sağlık ekipleri, ilk müdahaleyi gerçekleştirdikten sonra Osman Yıldırım'ı ambulansla Serik Devlet Hastanesine nakletti. Osman Yıldırım daha sonra tedavisi için Antalya Eğitim ve Araştırma Hastanesine sevk edildi.
Jandarma tarafından yakalanan Tuncer Yıldırım, işlemlerin ardından adliyeye sevk edildi ve tutuklandı.
Osman Yıldırım'ın hastanede tedavisi sürüyor. Şu ana kadar 4 ameliyat geçiren Yıldırım'ın vücudunda 3 koldan ve 1 karın bölgesinden olmak üzere toplamda 300 saçma bulunduğu belirtildi. Bu saçmaların 30'u riskli bölgelerde yer aldı.
Olayın şahidi olan Osman Yıldırım'ın oğlu Adem Yıldırım, amcası Tuncer Yıldırım ile babası arasında çıkan anlaşmazlığın bir kredi nedeniyle başladığını ve daha sonra miras meselesi yüzünden alevlendiğini belirtti. Aynı zamanda amcasının ölüm tehditlerinde bulunduğunu ifade eden Adem Yıldırım, olayın gelişimi hakkında detaylı bilgi verdi. Babasının durumunu da açıklayan Adem Yıldırım, babasının vücudunda bulunan saçmalar nedeniyle ciddi yaralar aldığını ve şu ana kadar 4 ameliyat geçirdiğini aktardı. Ayrıca, adaletin yerini bulmasını ve olayın sorumlularının cezalandırılmasını talep ettiklerini söyledi.






